West Hartford Dental
Cosmetic and Family Dentist in West Hartford

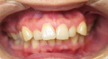
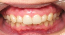
Wish you could have a bright, confident smile? West Hartford Dental Dr. Yin can make it happen! Here are some of our patients' before and after photos.

Before After